Skip to Content
chevron-left
chevron-right
chevron-up
chevron-right
chevron-left
arrow-back
star
phone
quote
checkbox-checked
search
wrench
info
shield
play
connection
mobile
coin-dollar
spoon-knife
ticket
pushpin
location
gift
fire
feed
bubbles
home
heart
calendar
price-tag
credit-card
clock
envelop
facebook
instagram
twitter
youtube
pinterest
yelp
google
reddit
linkedin
envelope
bbb
pinterest
homeadvisor
angies
We Do Not Accept Medicaid
5900 W Chester Rd, Suite A, West Chester, OH 45069
Book Online
513-942-8181
menu
Menu
About Us
Meet the Doctors
Tour the Office
Reviews
Services
General Dentistry
Gum Care
Periodontal Disease
Cosmetic Dentistry
Invisalign® Clear Aligners
Emergency Dentistry
Sedation Dentistry
Restorative Dentistry
Dental Implants
Dental Crowns and Bridges
Smile Gallery
Patient Information
Book Online
Financial and Insurance
HIPAA Patient Privacy
FAQs
Patient Education
Contact Us
Careers
Book Online
Menu
About Us
Meet the Doctors
Tour the Office
Reviews
Services
General Dentistry
Gum Care
Periodontal Disease
Cosmetic Dentistry
Invisalign® Clear Aligners
Emergency Dentistry
Sedation Dentistry
Restorative Dentistry
Dental Implants
Dental Crowns and Bridges
Smile Gallery
Patient Information
Book Online
Financial and Insurance
HIPAA Patient Privacy
FAQs
Patient Education
Contact Us
Careers
Book Online
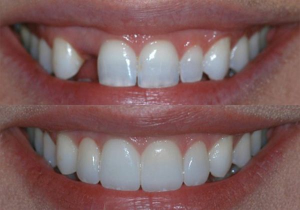
Smile Gallery
Book Online
Call Now